Sự tăng nhạy cảm của răng khi ăn uống thường hay gặp ở đa số các trường hợp mòn răng, tỉ lệ ít có thể gặp do nứt, mẻ hoặc vỡ răng. Hay gặp những răng mòn quá mức mặt nhai, mòn khuyết ở cổ răng và triệu chứng chung thường gặp là đau buốt khi ăn lạnh, nóng hoặc chua, ngọt, nặng hơn có thể gây viêm tủy, tủy hoại tử và viêm quanh chóp răng.
Nguyên nhân gây mòn răng
Có nhiều nguyên nhân gây mòn răng:
Mòn răng cơ học (nghiến răng, chải răng quá mức, không đúng cách...) mòn răng hóa học xảy ra khi bề mặt men răng tiếp xúc với dung dịch có tính axít lâu dài từ dịch vị dạ dày, từ nguồn thức ăn và thói quen ăn uống có các chất gây mất cấu trúc của răng. Nguy cơ mòn hóa học gia tăng với một số thói quen ăn uống.
Hay bị nôn hoặc trào ngược dạ dày: là nguyên nhân phổ biến nhất trong các trường hợp mòn trầm trọng của mặt trong răng cửa trên do dịch vị xuất hiện nhiều trong khoang miệng làm môi trường pH trong miệng luôn có tính acid , pH < 7 phá hủy cấu trúc toàn bộ bề mặt thân răng.
Nghiện rượu có thể gây mòn răng do tăng nguy cơ nôn trào ngược axít dạ dày.
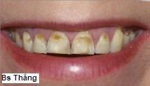
Ăn trái cây có vị chua: gây mòn răng ở mặt ngoài răng cửa trên. Vị trí ở mức độ trầm trọng của mòn răng liên quan trực tiếp đến cách sử dụng thức ăn có tính axít, độ axít và thời gian tiếp xúc.
Tiếp xúc với axít: công nhân ở các xí nghiệp có tiếp xúc với hơi và bụi nước có tính axít ở các nhà máy (sản xuất ắc-quy chì...), mòn trầm trọng thường ảnh hưởng đến mặt ngoài của các răng cửa.
Nước ngọt có ga: coca cola, nước cam và nước khoáng là những loại nước uống có tính axít (pH thấp) làm gia tăng độ mòn của răng.
Nguyên nhân khác:
Bất cứ loại thuốc nào có pH axít và tiếp xúc thường xuyên với bề mặt răng có thể gây mòn như viên vitamin C nhai, viên aspirin nhai.
Khớp cắn không bình thường: thường xảy ra trên một hoặc một vài răng cửa tình trạng khớp cắn đối đỉnh tức là rìa cắn răng cửa hàm trên và hàm dưới đối diện nhau chứ không trùm lên nhau như bình thường
Những yếu tố di truyền gây loạn sản tổ chức cứng của răng ảnh hưởng đến số lượng men hoặc chất lượng canxi hóa làm men mỏng và bở hơn. Điều này sẽ làm yếu sức kháng mài mòn và làm tăng thêm sự mất chất bề mặt do nguyên nhân hóa học hoặc cơ học. Loạn sản di truyền có thể ảnh hưởng cả hệ răng sữa và răng vĩnh viễn, khiến răng có màu nâu hoặc xám đục đặc trưng. Liên kết cấu trúc răng yếu gây mất men sớm, mòn nhanh và dễ bị sâu răng.
Các kiểu mòn răng
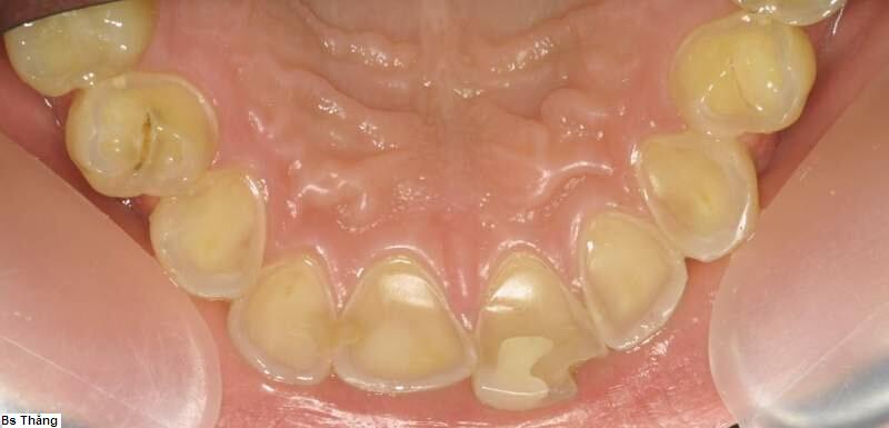
Răng hàm: có thể bị mòn ở các hố rãnh mặt nhai hoặc mặt trong, ngoài. Mặt nhai thường mòn tạo hình chén hoặc miệng núi lửa, khi mòn nhiều thì ở giữa thường có màu vàng sẫm (màu ngà răng) xung quanh có viền trong (bờ men răng).
Răng cửa: Mòn ở rìa cắn do thói quen cắn đinh ghim, nắp chai... Mòn ở mặt trong răng thường gặp do hay bị nôn và mặt ngoài do tiếp xúc với bụi hoặc hơi nước có axít.
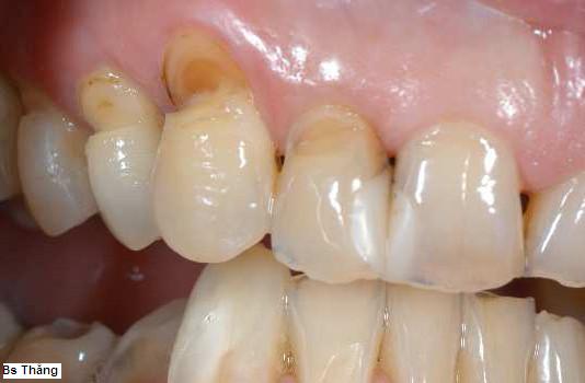
Chải răng không đúng phương pháp thường gây mòn cổ răng cửa và các răng hàm nhỏ 9 sô 4,5. Răng có thể bị mòn thành khía rãnh có hình chữ V ở mặt ngoài và gây nên ê buốt và có thể tiến triển gây viêm tủy răng do vi khuẩn xâm nhập qua lỗ thủng ở cổ răng này.
![]() | Mòn cổ răng do chải răng không đúng cách |
| | Mòn cổ răng hàm nhỏ hàm dưới |
![]() | Mòn cổ răng do chải răng |
| | Mòn cổ răng ở mức nặng, rãnh mòn thông với buồng tủy gây nhiễm trùng tủy răng. |
![]() | Mòn rìa cắn các răng cửa |
![]() ![]() | Mòn mặt trước và rìa cắn do tiếp xúc với acid qua không khí lâu dài |
![]() | Mòn mặt trong răng do trào ngược dạ dày, thực quản |
![]() ![]() | Mòn mặt trong răng do trào ngược dạ dày, thực quản |









