Bệnh sâu răng: Các cách điều trị, dự phòng
15-03-2011
6231
BỆNH SÂU RĂNG: CÁC CÁCH ĐIỀU TRỊ, DỰ PHÒNG

Điều trị

1.Nếu được phát hiện sớm khi lỗ sâu răng chưa xuất hiện hoặc khi sâu răng chưa ăn sâu vào lớp ngà răng thì phần lớn bệnh sâu răng có thể được ngăn chặn bởi chính người bệnh mà không cần phải điều trị phức tạp, tốn kém.

Có 3 cách chủ yếu để chữa bệnh sâu răng ở giai đoạn sớm, đó là:

- Vệ sinh răng miệng thường xuyên và đúng cách ( Xem thêm Chải răng đúng cách).

- Hạn chế tối đa các thức ăn, đồ uống có thành phần là đường và tinh bột.

- Sử dụng dung dịch keo Fluor ở chỗ răng sâu. Bởi vì Fluor ở dung dịch này có nồng độ cao hơn nhiều so với ở trong kem đánh răng. Nhưng tuyệt đối cách này chỉ được thực hiện bởi nha sĩ để tránh ngộ độc Fluor, nhất là ở trẻ em. Fluor có tác dụng kích thích quá trình tái khoáng hoá, kết hợp với phân tử Calci và Phospho trong cấu trúc men răng tạo nên một chất cứng hơn men răng, chống chịu tốt sự ăn mòn của acid. Biện pháp tái khoáng phần bị sâu, dùng dung dịch gồm các chất calcium, phosphate, fluorine trám vào nơi răng chớm sâu, có khả năng thu hẹp vùng có màu trắng vôi hoặc vùng đó ngừng phát triển. Đây là phương pháp tái khoáng đơn giản, hiệu quả, không đau và an toàn. Phương pháp này có tác dụng rất nhanh và hiệu quả trong việc ngăn chặn sâu răng và phục hồi cấu trúc răng trở lại bình thường.


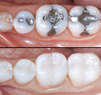
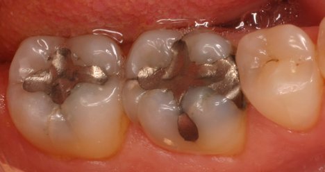
2.Khi đã bị sâu răng  có lỗ sâu cách điều trị duy nhất là cần sớm loại bỏ các mô răng đã bị mủn, nhiễm khuẩn và phục hồi bù cấu trúc men răng bằng các  vật liệu hàn răng, trám răng. Hàn vá lỗ sâu là phương pháp thường dùng nhất để chữa sâu răng, áp dụng đối với răng có khả năng định vị sau khi bị sâu. Khi hàn vá sử dụng chất liệu hàn vá để hàn thật chắc vào răng, vá vào chỗ khuyết của răng, khôi phục hình thể của răng, nhằm giữ được thẩm mỹ và chức năng cho hàm răng. Cần điều trị sớm, không đợi răng đau mới chữa.

Dùng vật liệu hàn để bịt kín lỗ sâu răng, ngăn không cho vi khuẩn hoặc các tác nhân bên ngoài như nhiệt độ, hoá chất tấn công, huỷ hoại tuỷ răng. Có 3 loại vật liệu được sử dụng nhiều nhất trong hàn răng là:

Hàn răng bằng A-mangam:

 

 

 

 

 

 

Hàn răng bằng Composite tổng hợp:

 

 

 

 

Hàn răng bằng  Cement silicat (hay còn gọi là xi măng sứ).

 

Hàn răng bằng Fuji ( Một loại GIC so với Amalgam )

 

 

 

 

 

 


        

3. Khi bệnh nhân đến khám răng vì lỗ sâu đã có cảm giác đau nhẹ, thoáng qua hoặc buốt, kích thước lỗ sâu to, bác sĩ nha khoa khám thấy có nhiều ngà mủn ở đáy lỗ sâu, có cảm giác buốt khi dùng dụng cụ nạo ngà ở đáy lỗ sâu, chụp phim thấy hình ảnh đáy lỗ sâu tiến gần sát đến buồng tuỷ… hoặc chỉ cần một vài trong các triệu chứng kể trên thì giải pháp an toàn là nên hàn theo dõi vài tuần trước khi hàn bằng chất hàn vĩnh viễn. Sau khi hàn theo dõi sẽ có một trong hai tình huống xảy ra:

1. Nếu đau răng được hàn theo dõi nghĩa là vi khuẩn đã xâm nhập vào tuỷ răng và gây viêm tuỷ mức độ nhẹ trước thời điểm bn được điều trị, lựa chọn điều trị trong trường hợp này là lấy toàn bộ tuỷ viêm sau khi đã đặt thuốc diệt tuỷ và vi khuẩn và tiến hành điều trị tuỷ thông thường

2.Nếu răng được hàn theo dõi không đau hay có cảm giác bất  thường trong suốt thời gian theo dõi thì có thể hàn vĩnh viễn sau đó khoảng 2 đến 4 tuần

 

 

 

 

 

 

Đối với những trường hợp thân răng vỡ quá to, sâu ở những vị trí không thể hàn được hoặc đã phải hàn lại nhiều lần, lỗ sâu, vỡ ở vị trí khó bền với điều kiện tuỷ răng đã được điều trị hoặc nếu chưa được điều trị mà có những triệu chứng đau nhẹ, thoáng qua hoặc buốt, kích thước lỗ sâu to, bác sĩ nha khoa khám thấy có nhiều ngà mủn ở đáy lỗ sâu, có cảm giác buốt khi dùng dụng cụ nạo ngà ở đáy lỗ sâu, chụp phim thấy hình ảnh đáy lỗ sâu tiến gần sát đến buồng tuỷ thì lựa chọn điều trị hiệu quả nhất là điều trị tuỷ và sau cùng là bọc hoặc chụp răng bằng chụp thép hoặc sứ

 

 

 

 

Dự phòng

 

- Để phòng bệnh mọi người cần phải chải răng sau mỗi bữa ăn. Chải răng thường xuyên vào buổi sáng hoặc tối, hoặc ít nhất 1 lần trong ngày sau bữa tối chải răng đúng cách bằng bàn chải lông mềm, chải mặt ngoài, mặt trong và mặt nhai, trên và dưới. Nên cầm bàn chải nghiêng một góc 450 so với  mặt  răng và  đầu  lông bàn  chải  hướng về phía lợi, chuyển động của bàn chải theo chiều lên xuống như hướng mọc của răng hoặc xoay tròn và lùi dần từ trong ra ngoài, chải kỹ rìa lợi và cổ răng. chải từng nhóm răng tới khi sạch, đối với mặt nhai thì đơn giản hơn, chỉ cần đặt lông bàn chải vuông góc với mặt răng và kéo qua kéo lại

- Súc miệng bằng nước súc miệng có tính sát khuẩn đặc hiệu với các loại vi khuẩn trong miệng, thêm các chất làm khô niêm mạc miệng, chất tạo mùi thơm…

 

Trên thị trường hiện nay có rất nhiều loại nước súc miệng cho người tiêu dùng lựa chọn nhưng những loại nước súc miệng mang hiệu quả cao không nhiều. Khi mua bạn nên chọn các loại nước súc miệng trong thành phần có các hoạt chất kháng khuẩn cao như: Menthol, Thymol, Eucalyptol, Menthy salicylate.

 

Nhiều người sử dụng hay pha loãng trước khi dùng làm như vậy sẽ làm giảm tính hiệu quả đến 90% bởi nước súc miệng nguyên bản đang ở dạng tuyệt đối vô trùng, với công thức sát khuẩn cao khi súc miệng nên súc trong miệng khoảng 30 giây để nước súc miệng chạy qua các kẽ răng ngấm vào tận chân răng để tạo thời gian diệt hết vi khuẩn trong miệng.

 

Đặc biệt khi súc miệng nên lưu ý ngửa cổ cho nước súc miệng tới họng, dùng áp lực hơi giữ cho nước súc miệng chặn lại trong cổ họng trong khoảng 5-7 giây thì sẽ ngăn được nguy cơ viêm họng rất cao, thậm chí còn có tác dụng chữa được viêm họng nữa.

 

- Tránh ăn vặt nhất là ăn vặt đồ ngọt, chải răng đúng cách là việc quan trọng để làm sạch hoàn toàn các răng


- Dùng chỉ nha khoa làm sạch kẽ răng: Các kẽ răng thường vẫn còn đọng thức ăn sau khi chải răng
Nếu đánh và chà răng không thôi thì chỉ làm sạch được 75% bề mặt của răng, 25% còn lại là ở vùng kẽ răng dưới khe nướu và chỉ có chỉ tơ nha khoa làm sạch được vùng này bởi vậy nên sử dụng chỉ nha khoa sau khi chải răng, cách dùng như sau: Lấy một đoạn chỉ nha khoa dài khoảng 40cm, quấn chặt vào hai đầu ngón tay giữa cho tới khi cách nhau 10cm, dùng hai ngón trỏ căng sợi chỉ, dùng ngón trỏ trái hoặc phải ấn sợi chỉ vào kẽ răng còn dắt thức ăn, kéo lên theo kẽ răng, thức ăn sẽ ra theo sợi chỉ. Sau đó cũng trên một kẽ răng đó kéo sợi chỉ cọ qua lại vùng cổ răng của từng răng tạo nên kẽ răng đó

 

Xem thêm video cách dùng chỉ tơ nha khoa

- Những người bị tụt lợi dẫn đến hở cổ và chân răng nhiều và thưa răng cần dùng thêm bàn chải kẽ răng để làm sạch mặt tiếp giáp giữa các răng. Những răng mọc lệch lạc cần được chỉnh cho đúng vị trí vì răng mọc lệch bị bám thức ăn nhiều hơn làm tăng nguy cơ sâu răng. Tránh ăn vặt đồ ngọt nhiều lần, nên ăn thành bữa và chải răng sau bữa ăn.

- Khám răng định kỳ 6 tháng 1 lần để phát hiện răng sâu và chữa kịp thời

- Dùng kẹo cao su có Xylitol

- Dùng thuốc chải răng có fluoride, nước uống hoặc muối ăn có bổ xung Fluor, Dùng nước máy, sữa chứa fluor, dùng kem đánh răng có fluor giảm được 30% sâu răng.

 

 

Vai trò của Fluor trong phòng chống sâu răng

 

Fluor (F) là một nguyên tố khá phổ biến trong vỏ trái đất, chủ yếu nằm trong quặng phosphat tự nhiên

 

Flouride hầu như luôn có mặt trong các nguồn nước sinh hoạt dưới dạng các ion. Với nồng độ Flouride thích hợp từ 0,5 đến 0,7 ppm trong 1.000ml nước thì chỉ cần hấp thụ lượng nước qua đường ăn uống tự nhiên hàng ngày, lượng Flouride vào cơ thể cũng sẽ đủ vào yêu cầu. Tuy nhiên, tỷ lệ nồng độ flouride trong nước sinh hoạt ở Việt Nam chỉ đạt khoảng 0,4ppm/1.000ml.

 

Trong cơ thể chứa một vài gam F, máu chứa 0,032 mg F/lít, trong xương và men răng chứa 96% F của cơ thể. F có trong thức ăn hằng ngày như rau, củ, quả... F có nhiều vai trò quan trọng đối với cơ thể: giúp chống bệnh sâu răng, do F ức chế hoạt động của vi khuẩn trên răng, ngăn chặn quá trình phân hủy hợp chất vô cơ trên men răng, chống lại acid. Flouride là hợp chất khoáng giúp men răng thêm bền chắc bằng cách  fluoride kết hợp với hydroxy apatid có trong men răng thành chất fluorohydroxyapatite có tác dụng làm cho men răng cứng hơn, do vậy chống đỡ với vi khuẩn và acid tốt hơn. Flouride còn làm giảm sinh ra acid của các vi khuẩn trên mảng bám răng Fluor giúp men răng trẻ em khoáng hóa, tăng sức đề kháng của răng chống lại tác động axit của các vi khuẩn gây sâu răng; Nó cũng có vai trò trong quá trình tạo xương và chuyển hoá canxi, phốt pho F là nguyên tố cơ bản trong cấu trúc xương và dây chằng, F kích thích tổng hợp collagen ở giai đoạn đầu để khôi phục xương gãy, chất natri Florur kích thích các tế bào xương làm tăng khối lượng xương dùng điều trị tốt trong bệnh loãng xương. Do việc xác định liều lượng F có lợi mà không gây thừa F trong cơ thể rất khó, trong khi việc thừa hay thiếu F đều gây nên một hậu quả tương tự nhau trên cùng một bộ phận cơ thể. Việc thiếu flouride sẽ gặp các vấn đề về răng miệng. Nhưng nếu thừa flouride thì hàm răng cũng có vấn đề Vì vậy cần phải sử dụng F đúng liều lượng tránh dẫn đến kết quả ngược lại. Nếu hít phải từ 2g F trở lên có thể bị ngộ độc cấp tính gây tử vong. Trường hợp cơ thể hấp thu từ 5-10mg  F/ngày, kéo dài nhiều ngày sẽ gây ngộ độc F mạn tính. Khi dùng dư lượng natri Florur sẽ dẫn đến bị tăng huyết áp.

 

 

 

Để chữa sâu răng, chỉ cần phết vào chỗ sâu một lớp vecni hoặc gel chứa fluor

 

Trẻ con mới sinh cho uống nước flouride ở nồng độ một phần triệu sẽ giúp giảm khả năng sâu răng sữa, giảm 44% sâu răng vĩnh viễn về sau. Sử dụng flouride trong giai đoạn phát triển răng giúp răng cứng chắc về sau. Flouride cũng tốt cho răng trẻ con và cả người lớn khi sử dụng trực tiếp trên răng (kem đánh răng, nước súc miệng...).



Biểu hiện của việc thiếu flouride rất dễ nhận ra. Đó là tình trạng răng yếu, không bám chắc vào lợi, dễ bị sâu răng, men răng không sáng bóng mà mờ xỉn. Đối với trẻ em bú sữa mẹ, tình trạng thiếu flouride thường xuyên xảy ra vì flouride không đi qua sữa mẹ với lượng thích hợp. Hơn nữa, phần lớn phụ nữ trong độ tuổi sinh nở hiện nay cũng ở trong tình trạng thiếu flouride nên càng ảnh hưởng đến các thế hệ sau. Hiện nay, nhiều địa phương, nhất là các địa phương khu vực phía nam đang tính đến khả năng bổ sung cho thêm flouride vào nước sinh hoạt để tăng cường độ bền chắc cho răng và xương.

 

Ngược lại thừa Fluor cũng gây ra những hậu quả khó khắc phục. Với trẻ em, nếu chịu mức nồng độ flouride quá cao sẽ có nguy cơ bị hư hỏng men răng nghiêm trọng, răng bị đổi màu, thậm chí là mất men răng và sâu răng. Bệnh này còn có thể ảnh hưởng đến chức năng của men răng - có vai trò bảo vệ răng và mô răng bên dưới khỏi bị mục và nhiễm trùng. Nếu bị nhiễm nhiều florua trong thời gian dài, có thể tăng nguy cơ gãy xương. Với người lớn, nếu uống quá nhiều flouride trong thời gian dài có thể làm men răng bị lốm đốm nâu. Với nồng độ flouride cao trên 1 ppm/1000ml nước sẽ gây nên bệnh Fluose (răng đổi mầu nâu)... Nặng hơn, răng có thể bị hư hại nặng, xỉ đóng thành từng mảng vàng, loang lổ, bị sâu, mục... Thậm chí, tình trạng ngộ độc flouride còn có thể gây nên chứng đau xương, gai đôi cột sống.

 

Khi nguồn nước sinh hoạt không đủ nồng độ flouride thì phải bổ sung bằng viên flouride, kem đánh răng và nước súc miệng có flouride... Tất cả trẻ bú sữa mẹ cần được bổ sung florua giọt. Trẻ nuôi bằng sữa bình cần nhận florua bổ sung nếu nguồn nước uống không có florua. Lượng florua bổ sung đường uống sau khi cai sữa mẹ phụ thuộc vào lượng florua tự nhiên hoặc bổ sung có trong nước uống và tổng lượng nước uống vào trong ngày của trẻ. Trẻ em từ 5 tuổi trở lên có thể dùng flouride được cho cả 2 loại, toàn thân và tại chỗ nhưng cần tham khảo ý kiến bác sỹ về liều lượng.

 

Hầu hết kem đánh răng đều có chứa Fluor, nguồn nước cấp cho cư dân đô thị cũng có Fluor với hàm lượng nhất định, ở vùng sâu, vùng xa người ta đưa Fluor vào muối ăn và khuyến cáo người dân nên dùng.

 

 

- Dùng nhựa tổng hợp dùng trong nha khoa ( Composite ) phủ lên mặt nhai các răng có nguy cơ sâu răng cao như trên mặt nhai của răng hàm hoặc những răng  răng hàm nhỏ (premolars) có nhiều đường rãnh và hố sâu trũng làm cho thức ăn thường hay bị ứ đọng lại trên mặt nên dễ bị sâu răng hơn những răng khác. Chất nhựa sealant sẽ được đổ bao phủ trên những mặt răng, hàn kín các kẽ hở sâu trên mặt nhai gọi là trám bít hố rãnh phòng ngừa sâu răng. Trám bít hố rãnh phòng ngừa là phương pháp tốt để bảo vệ bề mặt răng chưa trám hoặc không bị sâu. Chất liệu dùng để trám bít hố rãnh phòng ngừa là 1 vật liệu trắng và trong –Sealants- được đặt lên bề mặt của răng. Mục đích của trám bít hố rãnh phòng ngừa là lắp những hố rãnh tự nhiên nơi mà mầm bệnh dễ dàng tích tụ lại, vì vậy sẽ bảo vệ răng khỏi sâu răng. Lớp nhựa này tồn tại được vài năm nên cần phải được xem xét hoặc quét lại nếu nó bị tróc đi.

                                       Bác sĩ Nguyễn Cao Thắng

Chia sẻ thông tin   Gửi bài viết này cho bạn bè Bản in
Các bài viết khác
Share:
CHUYÊN MỤC KHÁC
Tin mới đăng

Thành công của một răng implant nha khoa đến từ sự chuẩn bị kỹ càng của nhà làm chuyên môn và sự phối hợp hợp tác của người được làm răng implant: Các điều kiện cần để tối ưu: Cung cấp đầy đủ thông tin tình trạng sức khỏe, tuân thủ hướng dẫn của nhân viên y tế, sử dụng răng trong giới hạn tải lực ch

Phẫu thuật trong miệng là tiểu phẫu cần tiến hành trong các can thiệp nha khoa với các chỉ định: Nhổ răng trong nắn chỉnh răng, nhổ răng ngầm, nhổ răng thừa, nhổ răng kẹ, lạc chỗ, tháo vít nẹp xương, cấy implant, tạo hình viền lợi, cắt phanh môi, bắt và tháo vít neo chặn, thay các phụ kiện trong quá

AUTO SMS: Địa chỉ & Lịch làm việc Nhakhoa Rangsu.vn

scroll up