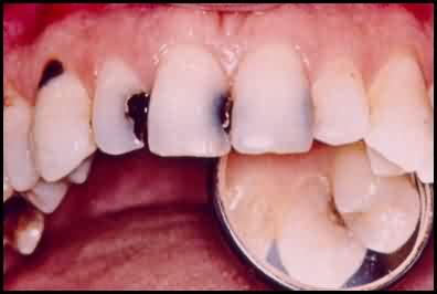
Sâu răng do nguyên nhân từ đâu?
![]() Nguyên nhân là do vi khuẩn gây sâu răng có sẵn trong miệng, chủ yếu là Streptococcus Mutans, khi có thức ăn dính lên mặt răng đặc biệt là đường và tinh bột, sau thời gian vài giờ các vi khuẩn sẽ phân hủy thức ăn tạo nên acid ăn mòn men răng tạo thành lỗ sâu. Vi khuẩn, acid, mùn thức ăn trên mặt răng sẽ tạo thành một màng dính vào răng gọi là màng bám răng, màng này rất dính và có ở tất cả các mặt răng đặc biệt là răng hàm, màng bám răng không những gây sâu răng mà còn gây viêm lợi và viêm quanh răng. Màng bám răng dần dần được khoáng hóa bởi các chất khoáng trong nước bọt và thức ăn tạo thành cao răng. |


