Bệnh sún răng ở trẻ
16-03-2012
4803
BỆNH SÚN RĂNG Ở TRẺ

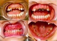
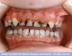
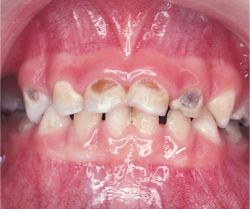
Có nhiều nguyên nhân dẫn đến tình trạng “sún răng”, nhưng nguyên nhân chủ yếu là do bé ăn quá nhiều đồ ngọt, các loại thức ăn có hàm lượng đường cao, tính bám dính mạnh nên dễ lên men sinh axit. Răng có hai lớp vỏ cứng từ ngoài vào trong theo thứ tự Men răng và Ngà răng. Lớp men răng và lớp ngà răng của răng sữa tương đối mỏng, độ canxi hóa thấp nên dễ bị sâu và khi đã bị sâu qua lớp men thì tốc độ bệnh tiến triển rất nhanh vì ngà răng kém cứng hơn men răng. Răng dần dần mủn và tiêu đi làm giảm thể tích thân răng, không đau nhức, chỗ bị sún chỉ nông chứ không sâu như lỗ răng sâu nhưng thường có diện tích rộng, màu đen hoặc nâu, đáy mềm ở những đợt tiến triển, lâu dần chỉ còn những mỏm răng gần tụt xuống lợi làm chân răng nằm sát với lợi.

Một số nguyên nhân khác như bé đang bị sâu răng mà bạn không biết, thậm chí bị sâu cả hàm hoặc do chế độ dinh dưỡng của bé bị thiếu canxi và flour khiến cho răng bé bị tổn thương.

Cũng có thể nguyên nhân do mẹ sử dụng các loại thuốc kháng sinh như Tetracycline, Doxycycline khi đang mang thai, làm cho răng bé phát triển không tốt, chất lượng men răng kém, độ cứng không cao, răng dễ bị tổn thương hơn nếu cùng chịu một tác động của yếu tố nguy cơ sâu răng, dễ bị sâu, mẻ, vỡ răng, men răng biến thành màu vàng sẫm.

Một số nguyên nhân phổ biến nữa là do cha mẹ chăm sóc răng miệng cho bé không đúng cách, khiến vi khuẩn hình thành mảng bám trên bề mặt răng; Do trẻ mắc bệnh vàng da cũng ảnh hưởng đến men răng; Do bé uống các loại thuốc có chứa sắt dạng siro, uống các đồ uống có ga thường xuyên

 




Cách ngăn ngừa bệnh mòn răng sữa cho bé

Lời khuyên của bác sĩ là kể cả khi trẻ chưa có chiếc răng nào hay khi trẻ có những chiếc răng đầu tiên, cha mẹ đã phải chú ý đến việc vệ sinh răng miệng cho trẻ. Việc vệ sinh bằng bàn chải đánh răng có thể khó khăn, do đó có thể thay bằng gạc sạch thấm nước nhẹ nhàng chà sạch mặt trong, ngoài của nướu và răng.

Nếu trẻ chưa thể bỏ việc uống sữa về đêm, hãy luôn để một bình nước lọc bên cạnh để cho bé tráng miệng lại. Tuy nhiên, hầu hết các bác sĩ đều khuyến cáo nên cho trẻ thôi bú đêm từ 8 – 10 tháng tuổi. Vì việc bú về đêm thường làm cho trẻ bị gián đoạn giấc ngủ, kém phát triển chiều cao và cũng là nguyên nhân của việc hư răng sữa.
Khi răng trẻ đã mọc tương đối đầy đủ (khoảng 2 – 3 tuổi) cha mẹ nên tập cho trẻ thói quen tự dùng bàn chải đều đặn sau mỗi lần ăn uống với một tí xíu kem đánh răng (chỉ nhỏ bằng hạt đậu) loại dành cho bé. Những lần đầu có thể bé sẽ nuốt một ít, cũng không có vấn đề gì. Hãy kiên nhẫn hướng dẫn dần để bé biết cách chải răng, bạn có thể cùng đánh răng với bé, tạo ra không khí vui nhộn với những trò chơi như thi đánh răng đúng cách... để trẻ không cảm thấy sợ hãi khi đánh răng.

Cha mẹ có thể dạy bé đánh răng khi bé 1 tuổi

 

Ngoài ra, các bậc cha mẹ cần đặc biệt quan tâm đến chế độ dinh dưỡng cho trẻ, tránh cho con uống quá nhiều nước ngọt. Bổ sung thức ăn nhiều chất xơ, giầu fluor như: Cá biển, trứng, sữa tươi và các chế phẩm từ sữa cho con. Cà rốt cũng là loại thức ăn khiến răng chắc khoẻ, giúp nướu răng mau liền khi bị tổn thương và làm giảm tình trạng chảy máu chân răng.

Khi đã xảy ra tình trạng sún hoặc sâu răng

Càng sớm càng tốt đưa trẻ đến các bác sĩ nha khoa tin cậy, bác sĩ sẽ tùy tình trạng sức khỏe răng miệng, mức độ bệnh trên thân răng, tuổi của bé...mà sẽ đưa ra cách điều trị có lợi nhất cho bé

Khi nào thì trẻ nên bắt đầu đánh răng?

Ngay khi thấy răng trẻ mọc ổn định, bạn nên cho trẻ tập đánh răng. Có thể ban đầu trẻ sẽ không hợp tác cho lắm nhưng đừng lo lắng quá, dần dần trẻ sẽ học được cách đánh răng và chăm sóc răng đúng cách.

Để chăm sóc răng trẻ tốt nhất, bạn nên chọn loại bàn chải đánh răng loại nhỏ phù hợp với trẻ. Đầu bàn chải không nên quá dài hoặc quá to để trẻ có thể chải vào tận các góc sâu trong miệng. Cũng không nhất thiết phải sử dụng bàn chải đánh răng điện tử trừ khi đó là chiêu giúp trẻ đánh răng thường xuyên hơn và lâu hơn. Bạn cũng cần lưu ý thay bàn chải đánh răng cho bé thường xuyên, khoảng 2 tháng một lần.

Chia sẻ thông tin   Gửi bài viết này cho bạn bè Bản in
Các bài viết khác
Share:
CHUYÊN MỤC KHÁC
Tin mới đăng

Thành công của một răng implant nha khoa đến từ sự chuẩn bị kỹ càng của nhà làm chuyên môn và sự phối hợp hợp tác của người được làm răng implant: Các điều kiện cần để tối ưu: Cung cấp đầy đủ thông tin tình trạng sức khỏe, tuân thủ hướng dẫn của nhân viên y tế, sử dụng răng trong giới hạn tải lực ch

Phẫu thuật trong miệng là tiểu phẫu cần tiến hành trong các can thiệp nha khoa với các chỉ định: Nhổ răng trong nắn chỉnh răng, nhổ răng ngầm, nhổ răng thừa, nhổ răng kẹ, lạc chỗ, tháo vít nẹp xương, cấy implant, tạo hình viền lợi, cắt phanh môi, bắt và tháo vít neo chặn, thay các phụ kiện trong quá

AUTO SMS: Địa chỉ & Lịch làm việc Nhakhoa Rangsu.vn

scroll up
1
Bạn cần hỗ trợ?
 
Bấm vào để gọi: 0982098218