![]()
X-quang hàm trên và dưới trẻ sơ sinh | ![]()
Sơ đồ mầm răng sữa trẻ sơ sinh trên xương hàm |
![]()
Xương sọ vùng hàm trên và dưới trẻ sơ sinh |
![]() X quang xương và răng hàm trên và dưới trẻ gái 6 tháng tuổi |
![]()
| |
X quang xương và răng hàm trên và dưới trẻ gái 9 tháng tuổi |
![]()
|
Xương sọ vùng hàm trên và dưới trẻ 9 tháng tuổi |
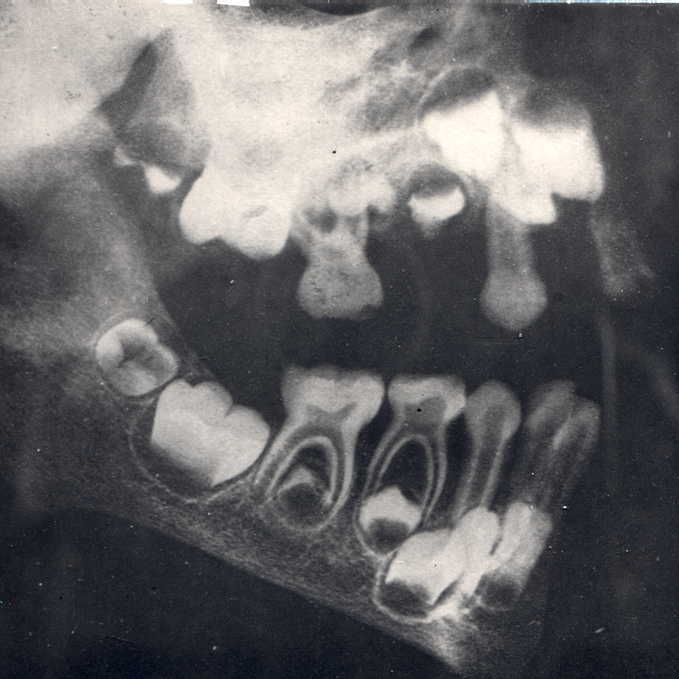
![]() X quang xương và răng hàm trên và dưới trẻ gái 1 tuổi. Theo thứ tự từ Trái sang Phải là mầm răng vĩnh viễn số 6 ( sẽ mọc lúc 6 tuổi ), mầm răng sữa số 5 và răng sữa số 4 đã mọc trong miệng |
![]()
Sơ đồ mầm răng sữa trẻ 1 tuổi trên xương hàm, trẻ đã mọc răng cửa sữa số 1, 2 và răng hàm sữa số 4 ký hiệu bằng màu xanh trong miệng, mầm răng vĩnh viễn màu vàng trong xương hàm. Theo thứ tự từ Trái sang Phải trong xương hàm là mầm răng vĩnh viễn sô 6 ( sẽ mọc lúc 6 tuổi ) mầm răng sữa số 5, răng số 4 ( đã mọc ), mầm răng sữa số 3, răng sữa số 2, số 1 | |
![]() X quang xương và răng hàm trên và dưới trẻ gái 2 tuổi. Theo thứ tự từ Trái sang Phải là mầm răng vĩnh viễn số 6 ( sẽ mọc lúc 6 tuổi ), răng sữa số 5, số 4, 3, 2 và 1 đã mọc trong miệng |
![]() Sơ đồ mầm răng sữa trẻ 2 tuổi trên xương hàm, trẻ đã mọc đủ răng cửa sữa số 1, 2 , 3, 4 và 5 ký hiệu bằng màu xanh trong miệng, mầm răng vĩnh viễn màu vàng trong xương hàm. Theo thứ tự từ Trái sang Phải trong xương hàm là mầm răng vĩnh viễn sô 6 ( sẽ mọc lúc 6 tuổi ), chân các răng sữa số 5, 4, 3, 2, 1 | |
X quang xương và răng hàm trên và dưới trẻ gái 3 tuổi. Theo thứ tự từ Trái sang Phải là mầm răng vĩnh viễn số 6 ( sẽ mọc lúc 6 tuổi ). Răng sữa số 5, số 4, 3, 2 và 1 đã mọc trong miệng. Dưới chân các răng sữa trong xương hàm là mầm răng vĩnh viễn tương ứng | Sơ đồ mầm răng sữa trẻ 3 tuổi trên xương hàm, trẻ đã mọc đủ răng cửa sữa số 1, 2 , 3, 4 và 5 ký hiệu bằng màu xanh trong miệng. Theo thứ tự từ Trái sang Phải trong xương hàm là mầm răng vĩnh viễn số 7 ( sẽ mọc lúc 12 tuổi ) và số 6 ( sẽ mọc lúc 6 tuổi ), chân các răng sữa 5, 4, 3, 2, 1, Dưới chân các răng sữa trong xương hàm là mầm răng vĩnh viễn tương ứng có màu vàng | |
X quang xương và răng hàm trên và dưới trẻ trai 4 tuổi. Theo thứ tự từ Trái sang Phải là mầm răng vĩnh viễn số 6 ( sẽ mọc lúc 6 tuổi ). Răng sữa số 5, số 4, 3, 2 và 1 đã mọc trong miệng. Dưới chân các răng sữa trong xương hàm là mầm răng vĩnh viễn tương ứng | Sơ đồ mầm răng sữa trẻ 4 tuổi trên xương hàm, trẻ đã mọc đủ răng cửa sữa số 1, 2 , 3, 4 và 5 ký hiệu bằng màu xanh trong miệng, Theo thứ tự từ Trái sang Phải trong xương hàm là mầm răng vĩnh viễn số 7 ( sẽ mọc lúc 12 tuổi ) và số 6 ( sẽ mọc lúc 6 tuổi ), chân các răng sữa 5, 4, 3, 2, 1. Dưới chân các răng sữa trong xương hàm là mầm răng vĩnh viễn tương ứng có màu vàng. | |
![]() X quang xương và răng hàm trên và dưới trẻ trai 5 tuổi. Theo thứ tự từ Trái sang Phải là mầm răng vĩnh viễn số 7, số 6 ( sẽ mọc lúc 6 tuổi ). Răng sữa số 5, số 4, 3, 2 và 1 đã mọc trong miệng. Dưới chân các răng sữa trong xương hàm là mầm răng vĩnh viễn tương ứng. Bắt đầu có hiện tượng tiêu chân răng sữa do thân răng vĩnh viễn phát triển lên tì vào | Sơ đồ mầm răng sữa trẻ 5 tuổi trên xương hàm, trẻ đã mọc đủ răng cửa sữa số 1, 2 , 3, 4 và 5 ký hiệu bằng màu xanh trong miệng, Theo thứ tự từ Trái sang Phải trong xương hàm là mầm răng vĩnh viễn số 7 ( sẽ mọc lúc 12 tuổi ) và số 6 ( sẽ mọc lúc 6 tuổi ), chân các răng sữa 5, 4, 3, 2, 1. Dưới chân các răng sữa trong xương hàm là mầm răng vĩnh viễn tương ứng có màu vàng. Bắt đầu có hình ảnh tiêu chân răng cửa sữa số 1 và 2 | ![]() Xương sọ vùng hàm trên và dưới trẻ 5 năm tuổi |
![]() X quang xương và răng hàm trên và dưới trẻ trai 6 tuổi. Theo thứ tự từ Trái sang Phải là mầm răng vĩnh viễn số 7, răng số 6 đã mọc. Răng sữa số 5, số 4, 3, 2 và 1 đã mọc. Dưới chân các răng sữa trong xương hàm là mầm răng vĩnh viễn tương ứng. Hiện tượng tiêu chân răng sữa do thân răng vĩnh viễn tì vào |
Sơ đồ mầm răng sữa trẻ 6 tuổi trên xương hàm, trẻ đã mọc đủ răng cửa sữa số 1, 2 , 3, 4 và 5 ký hiệu bằng màu xanh trong miệng, Dưới chân các răng sữa trong xương hàm là mầm răng vĩnh viễn tương ứng có màu vàng. Hình ảnh tiêu chân răng cửa sữa số 1 và 2 nhiều hơnHàm răng sữa khi bắt đầu xuất hiện răng vĩnh viễn đầu tiên đến khi thay chiếc răng sữa cuối cùng gọi là Hàm hỗn hợp | Xương sọ vùng hàm trên và dưới trẻ 6 năm tuổi. Theo thứ tự từ Trái qua Phải hàm trên là số 7, số 6, số 5 vĩnh viễn mới nhú, số 4, 3, 2, 1 sữa. hàm dưới là số 7, số 6, số 5, 4, 3, 2, 1 sữa |
![]() X quang xương và răng hàm trên và dưới trẻ trai 7 năm tuổi. Theo thứ tự từ Trái sang Phải là mầm răng vĩnh viễn số 7, răng số 6 đã mọc. Răng sữa số 5, số 4, 3, 2 và răng cửa vĩnh viễn số 1đã mọc. Dưới chân các răng sữa trong xương hàm là mầm răng vĩnh viễn tương ứng. Hiện tượng tiêu chân răng sữa do thân răng vĩnh viễn tì vào ở tất cả các chân răng sữa còn lại |
Sơ đồ răng hàm trên và dưới trẻ trai 7 năm tuổi. Theo thứ tự từ Trái sang Phải là mầm răng vĩnh viễn số 7, răng số 6 đã mọc. Răng sữa số 5, số 4, 3 và răng cửa vĩnh viễn số 1, số 2 hàm dưới đã mọc. Dưới chân các răng sữa trong xương hàm là mầm răng vĩnh viễn tương ứng. Hiện tượng tiêu chân răng sữa do thân răng vĩnh viễn tì vào ở tất cả các chân răng sữa còn lại | |
![]() X quang xương và răng hàm trên và dưới trẻ trai 9 tuổi. Theo thứ tự từ Trái sang Phải là mầm răng vĩnh viễn số 7, số 6 đã mọc và bị hỏng do sâu răng. Răng vĩnh viễn số 5, số 4, răng sữa số 3, răng cửa vĩnh viễn số 2, 1 đã mọc. Dưới chân răng sữa số 3 là mầm răng vĩnh viễn số 3 Hiện tượng tiêu chân răng sữa do thân răng vĩnh viễn tì vào ở chân răng số 4 sữa còn lại |
Sơ đồ răng hàm trên và dưới trẻ trai 9 tuổi. Theo thứ tự từ Trái sang Phải là mầm răng vĩnh viễn số 7, răng số 6 đã mọc. Răng sữa số 5, số 4, 3 và răng cửa vĩnh viễn số 2, số 1 đã mọc. Dưới chân 3 răng sữa trong xương hàm là mầm răng vĩnh viễn tương ứng. Hiện tượng tiêu chân răng sữa do thân răng vĩnh viễn tì vào ở các chân răng sữa còn lại |
Xương sọ vùng hàm trên và dưới trẻ 9 tuổi. Từ trái qua phải là răng số 6 v v, số 5,4 sữa |
X quang xương và răng hàm trên và dưới trẻ trai 10 tuổi. Từ trái qua phải là mầm răng số 7, răng số 6 đã mọc, răng số 5 đang mọc, răng số 4, 3, 2, 1 vĩnh viễn đã mọc |
Sơ đồ răng hàm trên và dưới trẻ 10 tuổi. Theo thứ tự từ Trái sang Phải là mầm răng vĩnh viễn số 8, số 7, răng số 6 đã mọc. Răng sữa số 5 đang dần bị thay thế, Răng vĩnh viễn số 4, số 3 số 2, số 1 đã mọc. Hiện tượng tiêu chân răng sữa do thân răng vĩnh viễn tì vào ở răng sữa số 5 và 3 | |
| Sơ đồ hàm răng của trẻ trai lúc 11-12 tuổi. Từ răng số 6 trở ra đã tiếp khớp hoàn chỉnh giữa hàm trên và hàm dưới |
![]()
Xuơng sọ vùng hàm trên và dưới trẻ 11-12 tuổi, Từ trái qua phải là răng số 7, 6, 5, 4, 3, 2, 1 |

































