Chấn thương răng cửa
15-03-2011
3345
CHẤN THƯƠNG RĂNG CỬA

Răng cửa rất dễ bị chấn thương do tai nạn giao thông, va chạm vật cứng (khi cắn bút, cắn mở nắp chai...). Do có vai trò thẩm mỹ rất quan trọng đối với khuôn mặt nên khi các răng này bị chấn thương, các bác sĩ thường cố gắng bảo tồn.



Ở người trẻ tuổi, tủy răng có thể phục hồi sau chấn thương, tùy mức độ sang chấn tủy răng mà bác sĩ có thể quyết định lấy tủy răng hoặc không và thường khuyên giảm tối đa tác động lên răng bị chấn thương. Để giúp tủy phục hồi, nên ăn thức ăn mềm, tránh uống nước quá lạnh hoặc quá nóng. Tuy nhiên, có nhiều trường hợp sau 5-8 năm bị chấn thương, răng mới có triệu chứng sưng đau, hoặc đổi màu. Khi đó, cần điều trị tủy và những sang thương ở chóp răng.

Răng thay đổi vị trí nhưng không gãy hoặc Răng bị lệch một phần: Cần đến ngay nha sĩ để nắn chỉnh răng và cố định bằng nẹp trong vài tuần. Chỉ khi có triệu chứng sưng đau, bác sĩ mới lấy tủy.



Răng trồi dài: Ngay sau khi chấn thương, lấy tay ấn mạnh đẩy răng vào vị trí cũ, nếu sợ đau hoặc khó đẩy thì đến gặp nha sĩ ngay để mài chỉnh và theo dõi để kịp thời điều trị bảo tồn tủy khi cần thiết.

Răng lún vào xương ổ răng: Nha sĩ kéo cho răng vào vị trí ngang bằng răng kế cận, sau đó cố định vào răng kế bên bằng nhựa quang trùng hợp trong 3 tuần. Chỉ lấy tủy khi răng bị sưng đau

Răng rơi ra khỏi xương ổ răng: Rửa sạch chất bẩn bám vào răng bằng nước muối sinh lý), cầm răng bằng gạc tẩm nước muối sinh lý hoặc cho vào miệng ngậm trước khi đến nha sĩ. Răng ở bên ngoài xương ổ răng càng lâu, sự phục hồi càng khó, vì thế nên đến phòng khám nha ngay để răng được cắm vào xương ổ sớm, tủy và mạch máu tái lập dễ dàng. Chỉ lấy tủy khi răng bị sưng đau.

Răng bị va chạm nhưng không gãy và không thay đổi vị trí

Tủy răng có thể phục hồi, cần giảm tác động lên răng và tránh thức ăn quá nóng hoặc quá lạnh. Cố định răng vào răng kế cận nếu có lung lay, giữ vệ sinh kỹ, tránh dùng thức ăn quá nóng hoặc quá lạnh. Bác sĩ sẽ không mài chỉnh hoặc trám thẩm mỹ vì có thể ảnh hưởng tủy răng. Việc tái tạo thẩm mỹ nên bắt đầu sau vài tháng, khi tủy tạm phục hồi hoặc có bằng chứng rõ răng về việc tủy răng đã chết

Răng bị chấn thương có thể “sống” một thời gian dài. Sau 5-10 năm, nó có thể chết tủy và cần điều trị tủy để bảo tồn răng. Ngoài ra, răng cũng có thể bị tiêu, lung lay nhưng không có triệu chứng sưng đau. Tùy yêu cầu thẩm mỹ hoặc tình trạng khó chịu của mỗi cá nhân, có thể phải nhổ.

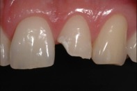
Gãy thân răng không lộ tủy



Nên giảm tác động mạnh trên răng, theo dõi tủy răng và chỉ lấy tủy khi răng bị sưng, đau. Thường sau 3 tuần bị chấn thương, nha sĩ mới thực hiện việc trám tái tạo thân răng.

Gãy thân răng có lộ tủy nhưng không chảy máu



Răng chỉ đau khi bị kích thích, nên đến nha sĩ điều trị sớm bằng thủ thuật điều trị tủy răng.

Trường hợp lộ tủy, chảy máu từ vết gãy, răng chưa đóng chóp đủ, nên đến nha sĩ điều trị tủy và băng tạm ống tủy 3-9 tháng hoặc 1-3 năm, đến khi răng đóng chóp mới trám bít tủy răng hoàn chỉnh. Lưu ý các răng đã lấy tủy rất dễ vỡ nếu va chạm vật cứng. Vì vậy việc cần làm càng sớm càng tốt sau chữa tủy răng là làm mão bọc gia cố cho toàn bộ thân răng và phục hồi lại vẻ thẩm mỹ của vùng thân răng bị gãy, vỡ.

Gãy thân răng

Gãy ngang chân răng hoặc gãy dọc theo chiều dài trục răng  thường là phải nhổ răng.



Gãy thân răng, gãy gần cổ răng dưới nướu



Phần gãy thân răng nên nhổ bỏ, lấy tủy phần chân răng và tạo cùi giả thường làm bằng chốt đúc sau đó gắn mão phục hình trên chân răng. Để phòng ngừa chấn thương răng, cần mang khí cụ bảo vệ hàm mặt khi tham dự thể thao; đội mũ bảo hiểm có cằm khi ngồi xe mô tô tham gia giao thông; thắt dây an toàn khi ngồi trong xe hơi. Nên chỉnh nha cho trẻ trong các trường hợp sâu, hô để tránh tổn thương vùng răng cửa khi ngã. Khi có tổn thương ở răng, nên sớm đến trung tâm điều trị nha khoa.

Chia sẻ thông tin   Gửi bài viết này cho bạn bè Bản in
Các bài viết khác
Share:
CHUYÊN MỤC KHÁC
Tin mới đăng

Thành công của một răng implant nha khoa đến từ sự chuẩn bị kỹ càng của nhà làm chuyên môn và sự phối hợp hợp tác của người được làm răng implant: Các điều kiện cần để tối ưu: Cung cấp đầy đủ thông tin tình trạng sức khỏe, tuân thủ hướng dẫn của nhân viên y tế, sử dụng răng trong giới hạn tải lực ch

Phẫu thuật trong miệng là tiểu phẫu cần tiến hành trong các can thiệp nha khoa với các chỉ định: Nhổ răng trong nắn chỉnh răng, nhổ răng ngầm, nhổ răng thừa, nhổ răng kẹ, lạc chỗ, tháo vít nẹp xương, cấy implant, tạo hình viền lợi, cắt phanh môi, bắt và tháo vít neo chặn, thay các phụ kiện trong quá

AUTO SMS: Địa chỉ & Lịch làm việc Nhakhoa Rangsu.vn

scroll up
1
Bạn cần hỗ trợ?
 
Bấm vào để gọi: 0982098218