Hậu quả của Tetracycline trên răng và các cách phục hồi vẻ thẩm mỹ cho răng
15-03-2011
3080
HẬU QUẢ CỦA TETRACYCLINE TRÊN RĂNG VÀ CÁC CÁCH PHỤC HỒI VẺ THẨM MỸ CHO RĂNG

Tetracicline  trong những thập kỷ 60, 70 va đầu 80 giúp kiểm soát các nhiễm trùng một cách hiệu quả nhưng cũng đem lại một số tác dụng phụ có hậu quả kéo dài, trong đó có hậu quả làm thay đổi màu sắc và chất lượng men răng. Màu sắc răng sẽ sậm màu hơn. độ cứng của men răng không cao nên cùng ăn một chế độ cứng như của người khác răng sẽ sớm bị mẻ, nứt gãy hơn


Có vài cách để thay đổi tình trạng này:
1 Tẩy trắng răng: để đạt được kết quả từ phương pháp này cần kiên trì và sự kiểm tra, sàng lọc kỹ càng từ bác sĩ bởi tỉ lệ thành công là không cao, hiệu quả làm trắng răng không cao, đòi hỏi những trường hợp bị nhiễm Tetracicline ở mức độ nhẹ. Có cách tẩy trắng răng tại phong mạch và tẩy trắng răng bằng máng tẩy mang thuốc đeo hàng đêm


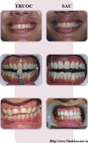
2. Phủ men răng bằng Composite: Men răng ở mặt trước các răng lộ khi cười ( thường khoảng 8 đến 10 răng cửa hàm trên cũng như hàm dưới ) được lấy đi một lớp khoảng 0,5 đến 1,2 mm do bác sĩ tính toán. Composite được trám phủ lên bền mặt ngoài các răng này, màu trắng của lớp chất liệu này sẽ đại diện cho màu của răng khi giao tiếp. Ưu điểm của phương pháp này là thao tác nhanh ngay trên miệng bệnh nhân 3-5 phút/răng. Độ bền 3 đến 5 năm. Độ trong và sắc độ mà composite đem lại tương đương với 6/10 so với răng thật




Răng sau bọc Composite đã được cải thiện nhiều về hình thể và màu sắc




Răng phủ composite có một màu trắng đục, đồng dều, thiếu sắc trong ở vùng rìa cắn so với răng phục hình thẩm mỹ bằng sứ

 





3. Bọc sứ toàn bộ thân răng.  Đây là phương pháp đem lại kết quả thẩm mỹ cũng như độ bền vật liệu cao nhất, tuy nhiên cũng là phương pháp can thiệp nhiều nhất, chi phí cao hơn hẳn so với hai phương pháp trên vì vâ cần có sự tư vấn, bàn bạc thật kỹ với bác sĩ cũng như là sự thận trong, chính xác cao trong thao tác của bác sĩ.

Thân răng sẽ được thu nhỏ lại bằng việc loại bỏ 1-1,5 mm độ dày bên ngoài toàn bộ thân răng, mặt trong cũng như mặt ngoài, rìa cắn. Vỏ răng sứ mới cần nhiều giờ để đúc trong nhiệt độ cao tạo nên một vỏ răng mới với độ cứng cao, bền, độ trong mờ ở vùng rìa cắn tạo cảm giác thị giác như răng thật. Vỏ răng mới được gắn chặt vào răng thật sau khoảng 2 ngày chế tạo với độ bền lâu dài.




Răng sứ không kim loại trước khi gắn


Răng sứ Cercon







Răng sứ Zirconia-Katana toàn hàm


Răng sứ thẩm mỹ sườn kim loại Titan


Răng sứ thẩm mỹ thay thế răng sứ làm không đúng kỹ thuật ( hở lợi )
 

 

Chia sẻ thông tin   Gửi bài viết này cho bạn bè Bản in
Các bài viết khác
Share:
CHUYÊN MỤC KHÁC
Tin mới đăng

Thành công của một răng implant nha khoa đến từ sự chuẩn bị kỹ càng của nhà làm chuyên môn và sự phối hợp hợp tác của người được làm răng implant: Các điều kiện cần để tối ưu: Cung cấp đầy đủ thông tin tình trạng sức khỏe, tuân thủ hướng dẫn của nhân viên y tế, sử dụng răng trong giới hạn tải lực ch

Phẫu thuật trong miệng là tiểu phẫu cần tiến hành trong các can thiệp nha khoa với các chỉ định: Nhổ răng trong nắn chỉnh răng, nhổ răng ngầm, nhổ răng thừa, nhổ răng kẹ, lạc chỗ, tháo vít nẹp xương, cấy implant, tạo hình viền lợi, cắt phanh môi, bắt và tháo vít neo chặn, thay các phụ kiện trong quá

AUTO SMS: Địa chỉ & Lịch làm việc Nhakhoa Rangsu.vn

scroll up
1
Bạn cần hỗ trợ?
 
Bấm vào để gọi: 0982098218