Khi nào bé cần đeo hàm giả?
25-11-2010
3466
KHI NÀO BÉ CẦN ĐEO HÀM GIẢ?

Trường hợp nào cần đeo răng giả?

Trẻ thường phải đeo hàm giả trong các trường hợp chính sau đây:

- Sâu răng: là nguyên nhân thường gặp. Sâu răng ở trẻ em thường tiến triển nhanh, gây mất tổ chức nhiều hoặc phải nhổ răng trong trường hợp có biến chứng nhiễm khuẩn. Hàm giả nhằm giữ chỗ cho những răng vĩnh viễn ở dưới lợi có không gian khi mọc lên, nếu không có hàm giả hoặc các công cụ giữ khoảng, các răng mọc trước hoặc ở cạnh răng mất sẽ lấn không gian đó làm răng vĩnh viễn mọc sau đó bị mất chỗ lên dễ gây nên tình trạng răng mọc chen chúc hoặc lệch lưỡi, lệch má

- Chấn thương làm gãy răng hoặc mất răng.

- Bất thường số lượng răng (thiếu răng), hình thể (loạn sản) và cấu trúc (sinh men bất toàn, sinh ngà bất toàn, nhiễm sắc...).

Trẻ có thể sử dụng loại hàm giả nào?

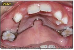
- Hàm giả tháo lắp: Hàm giả tháo lắp được chỉ định trong trường hợp mất nhiều răng ở cùng một cung răng hoặc khi không đủ răng trụ để làm hàm giả cố định; Hàm giả tháo lắp còn được chỉ định trong trường hợp bất thường số lượng răng liên quan đến các hội chứng loạn sản ngoại bì bẩm sinh, sinh ngà bất toàn... Trong trường hợp thiếu nhiều răng, còn một số răng trụ, có thể làm loại hàm giả tháo lắp có nền hàm phủ lên trên các răng còn lại. Chỉ định hàm giả tháo lắp còn phụ thuộc vào các vấn đề chủ quan: mong muốn của trẻ em và bố mẹ. Thông thường ở lứa tuổi 3 - 6, trẻ không chấp nhận đeo bất kì loại hàm giả nào. Sự hợp tác của trẻ và bố mẹ đặc biệt quan trọng trong trường hợp cần đeo hàm loại có nền hàm phủ trên các răng thật. Khi đeo loại hàm giả này đòi hỏi một chế độ vệ sinh răng miệng chặt chẽ và nhiều lần đi kiểm tra định kỳ.

- Kỹ thuật thường dùng: Nên đặt các ốc nong theo chiều đứng ngang để hàm được nong rộng theo sự tăng trưởng của xương hàm, tuy nhiên trong khoảng 3 - 6 tuổi không có sự tăng trưởng theo chiều đứng ngang. Ngoài ra, sự hiện diện của ốc nong làm tăng chiều dày của nhựa, giảm sự lưu giữ, nhất là trong trường hợp hàm giả toàn bộ.

Ở cung răng vĩnh viễn, có thể dự kiến thay thế một hoặc nhiều răng cửa để tránh tình trạng mất khoảng các răng thiếu, nghiêng răng bên cạnh và di gần của các răng nanh. Nhiều trường hợp có thể điều trị thiếu các răng phía trước bằng biện pháp nắn chỉnh răng sẽ phù hợp hơn hoặc phải sử dụng các biện pháp khác như tạo hình bằng composit các răng nanh trong trường hợp thiếu răng cửa bên, đóng khoảng, hàm giả cố định thông thường và cuối cùng là các implant.

Thông thường nhất, hàm giả tháo lắp được làm bằng nhựa, có cùng quy trình giống như người lớn khi làm hàm giả tháo lắp bán phần hay toàn bộ. Vì lý do thẩm mỹ, có thể hoàn thiện hàm giả này bằng nhựa acétalique. Các hàm giả bằng kim loại thì thường dành cho người lớn với cung răng vĩnh viễn.

Trường hợp các răng hàm sữa bị phá hủy nhiều, cần được phục hồi bằng các chụp thép có sẵn để đủ khả năng mang các móc phù hợp. Hàm giả toàn bộ là những ca lâm sàng khó khăn nhất, chẳng hạn như trong các trường hợp không còn xương ổ răng, mào xương ổ răng rất phẳng. Cần thay đổi hàm giả vào thời điểm mọc răng hàm và răng cửa vĩnh viễn. Mặt trong của nền hàm nên làm bằng nhựa mềm để không làm tổn thương niêm mạc của trẻ. Nhựa mềm cho phép giải quyết tạm thời vấn đề lưu giữ và ổn định. Nhược điểm, do là hàm tháo lắp và gây vướng víu nên trẻ em có thể không chấp nhận và không mang, ngoài ra có thể bị gãy vỡ. Nếu hàm giả không được đeo, vài ngày sau có thể gây mất khoảng, do vậy hàm giả cần phải được đeo liên tục trong miệng.

Ngoài ra, để giải quyết tạm thời đặc điểm tháo lắp, đối với vùng răng trước có thể đặt dạng giữ khoảng cố định. Tuy nhiên, loại này dễ bong khâu, khó vệ sinh, mất khoáng men răng dưới khâu.

- Hàm giả cố định: Răng giả cố định ở trẻ em là các loại răng giả gắn cố định vào các răng còn lại, có thể là chụp răng hay cầu răng hoặc một biến thể của răng giả tháo lắp.

- Chụp có sẵn dùng cho trẻ em: Là các loại chụp được sản xuất sẵn theo nhiều kích thước khác nhau cho từng loại răng khác nhau.

Chụp có sẵn này có thể được làm bằng thép không gỉ hoặc bằng nhựa carboxylate. Ưu điểm của các loại chụp thép có sẵn là: thao tác nhanh, kết quả tốt, lâu dài hơn so với các phục hồi thông thường, mài răng ít, có khả năng bảo tồn tủy răng cao, giá rẻ, tránh được sâu răng tái phát, giữ được chiều cao khớp cắn, đặc biệt trong các trường hợp bất thường cấu trúc gây mòn răng nhanh, giữ được chiều dài cung răng.


Chỉ định của chụp thép có sẵn: răng sau khi chữa tủy hoặc lấy tủy buồng, răng bị sâu nhiều mặt, răng bị vỡ lớn, răng chấn thương, làm trụ cho hàm giữ khoảng cố định hay tháo lắp hoặc đeo hàm giả, bất thường cấu trúc răng (sinh men bất toàn, sinh ngà bất toàn), dự phòng đa sâu răng và sâu răng tái phát ở các trẻ em có nguy cơ sâu răng cao hoặc trẻ khuyết tật khả năng vệ sinh răng miệng kém. Đối với các răng sữa được lấy tủy buồng, việc phục hồi thân răng bằng các loại chụp là hết sức cần thiết để tránh sự thâm nhiễm nước bọt và/hoặc tránh vỡ thân răng.

Chia sẻ thông tin   Gửi bài viết này cho bạn bè Bản in
Các bài viết khác
Share:
CHUYÊN MỤC KHÁC
Tin mới đăng

Thành công của một răng implant nha khoa đến từ sự chuẩn bị kỹ càng của nhà làm chuyên môn và sự phối hợp hợp tác của người được làm răng implant: Các điều kiện cần để tối ưu: Cung cấp đầy đủ thông tin tình trạng sức khỏe, tuân thủ hướng dẫn của nhân viên y tế, sử dụng răng trong giới hạn tải lực ch

Phẫu thuật trong miệng là tiểu phẫu cần tiến hành trong các can thiệp nha khoa với các chỉ định: Nhổ răng trong nắn chỉnh răng, nhổ răng ngầm, nhổ răng thừa, nhổ răng kẹ, lạc chỗ, tháo vít nẹp xương, cấy implant, tạo hình viền lợi, cắt phanh môi, bắt và tháo vít neo chặn, thay các phụ kiện trong quá

AUTO SMS: Địa chỉ & Lịch làm việc Nhakhoa Rangsu.vn

scroll up
1
Bạn cần hỗ trợ?
 
Bấm vào để gọi: 0982098218