Tại sao phải cần phẫu thuật lợi?
Phẫu thuật lợi được đề nghị nhằm mục đích điều trị và cải tiến những nguyên nhân ảnh hưởng đến sức khỏe lành mạnh của răng miệng. Sự chọn lựa cách thức phẫu thuật phụ thuộc vào nhu cầu điều trị và sự nghiêm trọng của bệnh cũng như các yếu tố cá nhân khác. Sau đây là những lý do tại sao bạn cần phẫu thuật lợi răng:
Ðể làm sạch và giảm bớt các túi răng
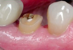
Như bạn đã biết, nguyên nhân chính gây ra các bệnh về lợi là do một màng vi trùng (bacteria plaque) không màu sắc bám chặt vào răng. Vì thế, bạn cần phải đánh răng hằng ngày để loại trừ chất plaque. Nếu chất plaque này không được lấy ra hết, các độc tố do vi khuẩn chứa trong plaque gây ra sẽ làm đau nhức lợi và phá hủy các tế bào bao bọc, tạo thành những túi răng (periodontal pockets). Dần dần, chất plaque càng cứng tạo thành lớp phủ dày gọi là nhựa hay là cao răng (calculus or tartar). Với thời gian, plaque và cao răng càng nhiều sẽ làm cho lợi răng càng ngày càng tách rời ra khỏi răng. Lợi và xương sẽ không còn bám chặt vào răng nữa, các túi răng càng lúc càng sâu, và cuối cùng gốc răng lung lay, dẫn đến tình trạng rụng răng.
Ðánh răng và dùng chỉ nha khoa không thể làm cho các túi răng sạch được, cũng như không thể tẩy sạch các chất plaque. Thậm chí nha sĩ của bạn cũng khó có thể tẩy sạch các túi răng đã quá sâu. Vì vậy, bác sĩ chuyên khoa nha chu của bạn sẽ làm phẫu thuật để tẩy sạch plaque và cao răng bám dưới lợi. Sau khi phẫu thuật, các túi răng sẽ giảm bớt, và lợi sẽ được chỉnh đổi vị trí để làm giảm thiểu tối đa những vùng mà các vi khuẩn gây bệnh có thể ẩn náu.
Tái tạo hình dạng của xương đã bị hư hại
Nếu xương răng bị mất, bạn nên cần phẫu thuật để ghép xương, làm bằng phẳng những chỗ xương không đều, và giúp cho các túi răng mau lành.
Tái tạo và hồi sinh các tế bào (tissue)
Nếu bệnh về lợi không được chữa trị, lợi và tổ chức xương quanh răng sẽ càng bị hư hại. Chất plaque càng dày thêm dọc theo gốc răng, gây nhiễm trùng và làm hư nghiêm trọng đến phần xương chống đỡ chân răng.
Bác sĩ chuyên khoa nha chu sẽ đề nghị phẫu thuật để tái tạo lại xương và các tế bào đã bị mất hoặc hư hại. Kỹ thuật của phẫu thuật này sẽ tái tạo và làm mạnh thêm phần chống đỡ và làm răng bền chắc hơn. Ngoài ra, có rất nhiều phương pháp giúp tái tạo lại xương răng mà bạn có thể tham khảo với bác sĩ để lựa chọn.
Phẫu thuật che phủ chân răng bị lộ
Phẫu thuật kéo dài chân răng
Khi một hay nhiều răng bị phân hóa hoặc bị vỡ dưới đường viền lợi bạn có thể phải cần đến phẫu thuật răng để điều chỉnh lại lợi và xương giúp cho răng có thể lộ thêm ra ngoài làm tiện cho việc chữa răng, hoặc hàn răng được dễ dàng.


Phẫu thuật kéo dài chân răng để làm răng giả
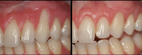
Làm tăng phần thẩm mỹ của răng
Trong nhiều trường hợp, phẫu thuật sẽ giúp tăng thêm vẻ đẹp cho răng. Chẳng hạn chân răng lộ ra khi cười có thể sửa trị bằng cách phủ lên một lớp tế bào mềm. Hoặc lợi lộ ra quá nhiều khi cười có thể sửa bằng cách làm răng trông to, dài hơn.
Phẫu thuật răng có gây đau đớn nhiều không?
Bạn sẽ không cảm thấy khó chịu hay đau đớn trong suốt cuộc phẫu thuật vì đã được gây tê. Ngoài ra, bạn có thể lựa chọn một trong rất nhiều cách khác nhau để làm giảm căng thẳng và đau đớn trong khi phẫu thuật.
Sau khi phẫu thuật, phần răng được điều trị có thể trở nên nhạy cảm, đau hoặc buốt. Bác sĩ chuyên khoa sẽ kê đơn thuốc cho bạn để giúp giảm đau, hoặc bạn có thể phải dùng nước thuốc sát trùng để súc miệng. Nếu bạn dùng thuốc và tuân theo đúng những chỉ dẫn, bạn sẽ không cảm thấy đau đớn gì cả. Hầu hết các bệnh nhân đều trở lại trạng thái bình thường chỉ một ngày sau khi phẫu thuật.
Sau khi phẫu thuật, có thể nói và ăn một cách bình thường không?
Bạn có thể nói và ăn bình thường sau khi thuốc tê đã tan. Bạn cần phải ăn những thức ăn đầy đủ dinh dưỡng, tuy nhiên cần tránh nhai thức ăn đụng đến phần răng vừa được phẫu thuật ít nhất trong vài ngày.
Trong một vài trường hợp, phần răng vừa được phẫu thuật có thể rất nhạy cảm với nóng và lạnh. Tuy nhiên, sự khó chịu này sẽ biến mất trong vài tuần.
Khi nào cần phải gặp lại bác sĩ chuyên khoa nha chu?
Thông thường bệnh nhân sẽ phải trở lại kiểm tra trong vòng một hoặc hai tuần để bác sĩ tháo gỡ băng gạc và làm sạch vùng răng phẫu thuật. Bạn sẽ được đặt hẹn để bác sĩ chuyên khoa kiểm tra tình trạng sức khỏe của bạn.
Có bao giờ cần phải phẫu thuật lợi lại lần nữa không?
Ða số trường hợp sẽ không cần. Tuy nhiên, trong một vài trường hợp, có thể cần phải giải phẫu lại. Ðể tránh tình trạng này, bạn cần phải giữ gìn vệ sinh và chăm sóc răng miệng đúng cách để có được kết quả lâu bền.
Các bệnh về răng có tính cách mãn tính, tức là dễ tái phát, rất khó chữa dứt hẳn. Phẫu thuật răng miệng giúp ngăn chặn bệnh, không cho nướu và xương bị hư hại thêm, và vì vậy giảm thiểu răng bị hư hoặc rụng răng.
Có thể làm những gì để ngăn ngừa các bệnh về răng miệng?
Bệnh răng sẽ tái phát nếu bạn không tuân theo nghiêm ngặt các chỉ dẫn sau khi phẫu thuật. Vai trò của quý vị rất quan trọng trong việc ngăn ngừa bệnh răng. Bạn nên đánh răng hàng ngày và dùng chỉ nha khoa để tẩy bớt màng bám.
Chăm sóc răng miệng kỹ càng sẽ đem đến nhiều lợi ích; bạn có thể nhai thoải mái, có một hơi thở thơm tho, và nụ cười khỏe mạnh. Và để có một nụ cười tự nhiên, không có gì tốt hơn một bộ răng trắng đẹp, khỏe mạnh. Cùng với những cố gắng của bạn và sự thăm viếng nha sĩ gia đình đều đặn, bạn chắc chắn sẽ có được một sức khỏe nha khoa lành mạnh, lâu bền
Thành công của một răng implant nha khoa đến từ sự chuẩn bị kỹ càng của nhà làm chuyên môn và sự phối hợp hợp tác của người được làm răng implant: Các điều kiện cần để tối ưu: Cung cấp đầy đủ thông tin tình trạng sức khỏe, tuân thủ hướng dẫn của nhân viên y tế, sử dụng răng trong giới hạn tải lực ch
Phẫu thuật trong miệng là tiểu phẫu cần tiến hành trong các can thiệp nha khoa với các chỉ định: Nhổ răng trong nắn chỉnh răng, nhổ răng ngầm, nhổ răng thừa, nhổ răng kẹ, lạc chỗ, tháo vít nẹp xương, cấy implant, tạo hình viền lợi, cắt phanh môi, bắt và tháo vít neo chặn, thay các phụ kiện trong quá
AUTO SMS: Địa chỉ & Lịch làm việc Nhakhoa Rangsu.vn

