So sánh giữa trám răng thẩm mỹ composite và chụp sứ
1 Composite là chất liệu tổng hợp, được sử dụng nhiều trong nghành nha khoa từ những năm đầu của thập niên 90
Trong nha khoa Composite được sử dụng như một chất thay thế mô răng bởi các đặc tính: màu sắc gần giống màu răng, chống chịu được sự mài mòn, độ nén chịu lực và đặc biệt là không độc cho cơ thể
2 Chụp

Răng bọc sứ với lõi răng Kim loại quý 
Răng sứ không kim loại 
Răng sứ gắn hoàn thiện trên miệng 
Răng sứ không lõi kim loại trước khi gắn 
Răng sứ lõi kim loại gắn trên miệng, chú ý rìa cắn trong suốt như răng thật 
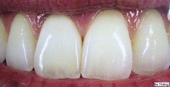
Răng sứ Titan trên miệng khi gắn hoàn thiện 
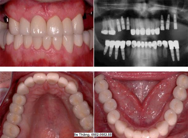
Răng sứ titan gắn trên Bn có hàm răng phục hồi răng toàn hàm bằng phương pháp cấy ghép Impalnt
Thành công của một răng implant nha khoa đến từ sự chuẩn bị kỹ càng của nhà làm chuyên môn và sự phối hợp hợp tác của người được làm răng implant: Các điều kiện cần để tối ưu: Cung cấp đầy đủ thông tin tình trạng sức khỏe, tuân thủ hướng dẫn của nhân viên y tế, sử dụng răng trong giới hạn tải lực ch
Phẫu thuật trong miệng là tiểu phẫu cần tiến hành trong các can thiệp nha khoa với các chỉ định: Nhổ răng trong nắn chỉnh răng, nhổ răng ngầm, nhổ răng thừa, nhổ răng kẹ, lạc chỗ, tháo vít nẹp xương, cấy implant, tạo hình viền lợi, cắt phanh môi, bắt và tháo vít neo chặn, thay các phụ kiện trong quá
AUTO SMS: Địa chỉ & Lịch làm việc Nhakhoa Rangsu.vn
Phone
Hotline 1: 0982098218 / Hotline 2: 0982098288

